أورام قاع الجمجمة هي الأورام المتصلة داخليًا بعظام الجمجمة والتي يصعب الوصول إليها بالطرق التقليدية حيث تحتاج إلى التمرس والتدريب المستمرين على كيفية الوصول إليها وكيفية استئصالها، جراحات أورام قاع الجمجمة والغدة النخامية من هذا النوع هي الأصعب لكونها متصلة بالأوردة والشرايين والأعصاب المخية.
تؤثر هذه الأورام على الإبصار أو السمع أو حركات العين والوجه وتحتاج إلى فحص طبي وعمل الأشعات اللازمة للتشخيص بشكل دقيق، كما يمكن أيضًا لهذه الأورام إحداث اضطراب في ضربات القلب أو اضطراب في عملية البلع.
أغلب هذه الأورام حميد وتكمن صعوبتها في طريقة استئصالها وذلك لاتصال هذه الأورام بالأعصاب المخية أو الشرايين المغذية لباقي أجزاء المخ ولذلك هناك احتمالية عالية لحدوث مضاعفات وأضرار شديدة حال عدم التعامل معها بدقة وخبرة.
توجد العديد من الطرق الحديثة في جراحات أورام قاع الجمجمة والغدة النخامية كاستخدام الميكروسكوبات المتطورة و مناظير المخ بآلاتها وكاميراتها الحديثة المتطورة وكذلك العلاج الاشعاعي الموجه لبعض بقايا الأورام، الذي يمكن استخدامه ايضًا في التعامل من البداية مع تلك الأورام كأجهزة الجاما نايف (Gamma- knife) والسايببر نايف (Cyper- knife)
أورام الغدة النخامية (Pituitary Tumors)

تعد أورام الغدة النخامية من الأورام الأكثر شيوعًا بين أورام قاع الجمجمة وتختلف بشكل شديد في طريقة التعامل معها وتقييمها وعلاجها.
تعتبر الغدة النخامية الغدة الأهم في الجسم وذلك عن طريق تنظيمها لوظائف الغدد الأخرى ولعبها لدور كبير في تنئظيم النوم والحالة المزاجية والنفسية للإنسان
تقييم أورام الغدة النخامية يحتاج إلى عمل تحليل كامل للهرمونات مع متابعة وتصحيح اللازم لامكانية حدوث ضرر شديد ناتج عن الاضطرابات الهرمونية على أجهزة الجسم المختلفة وهذه الأورام عادة ما تسبب اضطراب بمجال رؤية المريض وقوة ابصاره وقد تتسبب في فقدان الابصار بشكل كلي.
مع التطور الحديث في جراحات أورام قاع الجمجمة وأنظمة مناظير الأنف وتوافر الآلات التي تساعد على استئصال هذه الأورام عن طريق الأنف دون الحاجة للوصول الى هذه الأورام عن طريق الجمجمة أصبح هذا التدخل أبسط للمريض كما انه أضاف دقة لاستئصال الورم و رؤية أفضل لموقع الغدة النخامية والذي يعتير غير مرئي كليًا عن طريق التدخل الميكروسكوبي عن طريق الجمجمة.

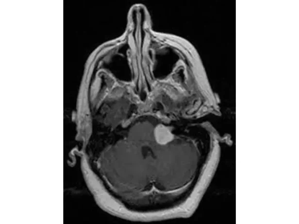
ورم العصب السمعي الثامن والعصب السابع (Vestibular Schwannoma)

ورم العصب الثامن والسابع من الأورام الأكثر شيوعًا من أورام قاع الجمجمة ويمتاز بكونه حميدًا ولكنه عادة ما يسبب فقدان تدريجي للسمع وقد يؤثر على أعصاب مخية أخرى ولذا يتم التعامل مع هذه الأورام بدقة شديدة
تقييم هذه الأورام يتطلب الأشعات اللازمة كالرنين بالصبغة على قاع الجمجمة وتقييم حالة السمع والاتزان لدى المريض بعمل فحوصات مقياس السمع والاتزان وتقييم حركة عضلات الوجه وإحساسه وحركة البلع.
بعض هذه الأورام قد تستجيب للعلاج الاشعاعي أو تحتاج إلى المتابعة الطبية حال عدم وجود أي أعراض تضرر عصبي مصاحب لصغر حجم الورم ولكن أغلبية هذه الحالات تحتاج إلى جراحات أورام قاع الجمجمة عن طريق التدخل الميكروسكوبي للغرفة الخلفية لقاع الجمجمة و باستخدام التوصيل العصبي للأعصاب المخية.
أورام الأم الجافية المحيطة بالمخ (Meningioma)

من أشهر الأورام الخاصة بالجمجمة والتي تنمو من الخلايا المبطنة للجمجمة والمحيطة بالمخ ولذلك حين تتزايد في أحجامها تضغط على الأنسجة المخية المحيطة وقد تسبب نفس الأعراض الخاصة بأورام المخ الداخلية وقد تسبب انضغاط للشرايين أو الأوردة المخية وعندئذ تتسبب في أعراض تؤدي إلى التدهور السريع واضطراب مستوى الوعي .
تشمل جراحات أورام قاع الجمجمة لهذه الأورام: الاستئصال الميكروسكوبي مع استخدام الرقع البديلة للأم الجافية وبدائل العظام في حالة الانتشار لعظام الجمجمة ويتبع ذلك العلاج الاشعاعي لبعض الحالات.
أفضل دكتور لجراحات أورام قاع الجمجمة والغدة النخامية
في ظل التطور الكبير في مجال جراحات أورام قاع الجمجمة، أصبحت خيارًا مثاليًا للعديد من المرضى، نظرًا لما توفره من دقة عالية. ويُعد الدكتور حسين زكريا من رواد هذا المجال، حيث يتمتع بخبرة واسعة في إجراء هذه النوعية من جراحات أورام قاع الجمجمة والغدة النخامية الدقيقة باستخدام أحدث التقنيات والأجهزة الطبية العالمية.
إذا كنت تبحث عن علاج فعّال وآمن لأورام قاع الجمجمة دون مضاعفات الجراحة التقليدية، فإن الدكتور حسين زكريا هو الخيار الأمثل.
تواصل معنا الآن واحجز استشارتك مع أفضل دكتور لجراحات أورام قاع الجمجمة.
المصادر: